醫學物理是将物理學中的原理和方法應用于臨床疾病的診斷、治療、預防和保健的學科,也是一門融合了物理學、數學、化學、生物學、醫學、計算機科學、工程科學以及智能信息科學等多學科知識的新興交叉學科。其核心内容包括計算機斷層成像(CT)、磁共振成像(MR)、正電子發射斷層成像(PET)、超聲成像(US)及放射治療(RT)和消融等,是保障人民生命健康和開展高水平醫療裝備研發的基礎。設立有全國首個醫學物理博士點。
目前團隊成員8人,包括2位國家級人才、1位國家級青年人才、3位教授和2位副教授組成,團隊負責人趙維教授。近5年發表SCI論文80餘篇,包括Nature子刊1篇,Cell子刊1篇,放療領域頂級期刊“紅皮書”、“綠皮書”,以及醫學圖像分析領域頂刊MedIA多篇;獲授權和公開中國、美國發明專利10餘件。主持國家自然科學基金重點項目、科技部重點研發計劃,以及企業“揭榜挂帥”項目多項。在英國物理學會、科學出版社等機構出版醫學物理相關專著與教材6部。成果轉化至10餘家國内外單位。
成員受邀擔任中國核工業教育學會副理事長、中國核學會醫學物理分會理事、北京核學會理事、醫學物理領域權威期刊Medical Physics副主編、北京科協“千人進千企”産業特派員等學術和社會兼職。獲“胡濟民教育科學獎”、“國際光學工程學會青年科學家獎”、“美國放射腫瘤學會基礎轉化科學獎”、“美國放射腫瘤學會年度最佳報告”等。
團隊與國家癌症中心、北京大學第三醫院、北京大學腫瘤醫院、解放軍總醫院、國科離子有限公司等國内頂級三甲醫院及産業龍頭企業保持深度合作,形成了醫工結合、産學聯動的創新合作體系。建立了由大三甲醫院科室主任、海外名校教授及行業資深工程師組成的20餘人校外兼職導師團隊,為學生提供一流的科研指導與實踐平台。團隊與合作單位共同探索的“産學研醫聯動的醫學物理創新人才培養模式”榮獲beat365英国官网网站教學成果特等獎,成為國内高校醫學物理教育的重要示範。團隊設立了“醫科達獎學金”和“國科離子獎學金”,持續鼓勵學生在科研與臨床創新中追求卓越。此外,團隊已連續舉辦四屆“醫學物理國際暑期學校”,吸引了來自全國及海外的優秀師生參與,在全國範圍内引起熱烈反響。通過持續建設與創新,團隊構建的“産學研醫”協同培養體系,正成為我國醫學物理學科建設與高水平人才培養的重要示範力量。
研究方向:
l 醫學物理人工智能
l 先進射線成像算法
l 高性能成像裝備制造
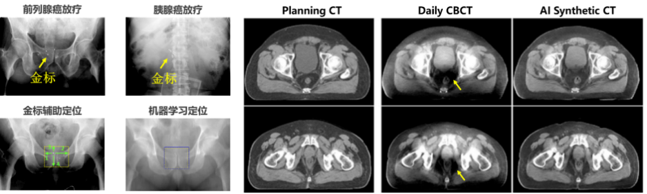
l 圖像引導放射治療
l 粒子治療
